
The molecular era of ultrastructural biology starts here.
Panluminate is a science-first technology company leading the evolution of biological imaging towards a three-dimensional, nanoscale, and multiplexed era.
We combine innovations in physics, chemistry, and artificial intelligence to create foundational technology for biologists and translational scientists in research, discovery, and therapeutic development.
.jpg)
Mitochondrial proteins appear isolated on a black background — the limited view of current spatial omics.
.jpg)
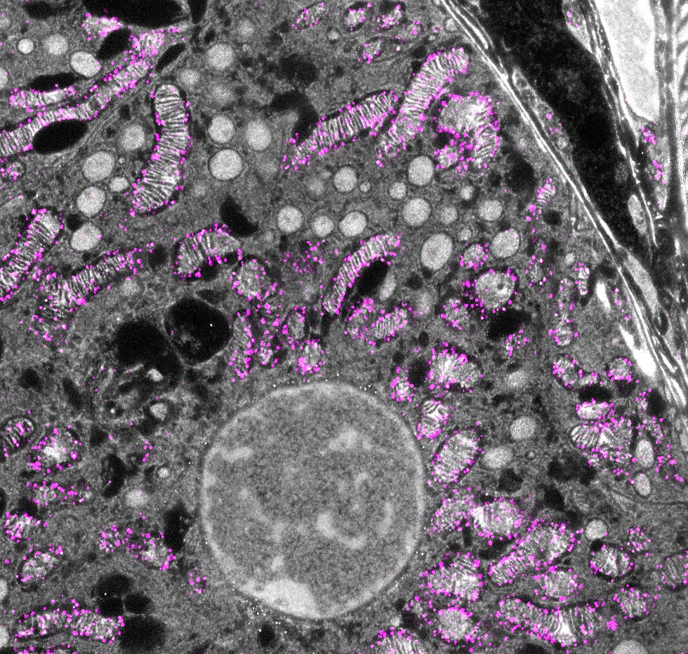
pan-staining reveals every organelle and cell compartment, providing electron microscopy-like ultrastructure with light.
.jpg)
Molecules are precisely localized within their structural context — a new class of biological data no other modality can produce.
.jpg)
AI uses molecular data to segment mitochondria and other features, turning dense imagery into interpretable structure.



Molecular Labeling Meets Ultrastructure
We provide full-service tissue preparation, imaging, and AI-powered segmentation for biologists who need the ultrastructural context of electron microscopy combined with the molecular specificity of immunofluorescence—all captured simultaneously on a light microscope.
Our proprietary next-generation pan-ExM technology bridges biochemistry and ultrastructure, allowing researchers to localize molecular markers within nanoscale tissue architecture using accessible, high-throughput light microscopy.

Our platform technology roadmap

We are building the missing bridge between molecules and structure.
-
Electron microscopy lacks molecular grounding: can’t learn disease rules
-
Fluorescence microscopy lacks ultrastructural context: can’t model structure-based biology
-
Spatial omics lacks physical continuity: can’t reconstruct organization

We offer the following suite of services.

Featured Applications
-
Mitochondrial Molecular and Structural Biology
-
3D Ultrastructural Analysis of Glomeruli in Kidney Disease
-
Neural Circuit Remodeling in Glioblastoma
-
Mechanism of Action Studies in Cultured Cells






News
CEO invited to speak at the Global BioImaging (GBI) and BioImaging North America (BINA) conference in Montréal
October 2025
Company wins NEI U01 and Phase I NIA SBIR awards
September 2025
Company wins Phase II NIGMS SBIR and Phase I NHLBI SBIR awards
August 2025
Company wins Phase I NHGRI SBIR award
June 2025
Company pitches in Washington DC for DARPA's AIxBTO competition and wins contract
December 2024
Company wins Phase II NIMH SBIR award
September 2024
CEO invited to speak at the biannual Seeing is Believing Conference at EMBL, Heidelberg
December 2023
Company wins catalyst contract with the Wellcome Leap
November 2023
Company wins Phase I NIDDK SBIR award
August 2023
CEO invited to speak at the 2nd Annual Optical Clearing and Expansion Symposium, Stockholm
December 2022
CEO invited to give the 2022 Rudolf Mößbauer Colloquium at MPI for Medical Research
October 2022
CEO invited to give a seminar at EMBL Heidelberg
October 2022
Company 3rd place at the Yale Innovation Summit
May 2022
Company wins Phase I NIMH SBIR award
April 2022
Company wins the Yale Startup Miller Prize
April 2022
Company launches with pre-seed led by Connecticut Innovations
January 2022
See our full list of publications here.
Chromatin expansion microscopy reveals nanoscale organization of transcription and chromatin



